※ 本文為 MindOcean 轉寄自 ptt.cc 更新時間: 2021-06-13 17:33:11
看板 Gossiping
作者 標題 [新聞] 一家三口確診!嬤往生、父住院、6歲女狂
時間 Sun Jun 13 12:09:07 2021
備註請放最後面 違者新聞文章刪除
1.媒體來源:
ETtoday
2.記者署名:
陳俊宏
3.完整新聞標題:
一家三口確診!嬤往生、父住院、6歲女狂哭 醫看新聞倒吸一口氣
4.完整新聞內文:
「它奪走了妳的奶奶,如今也許也要搶走父親?」新北市雙和醫院急診科醫師柯世祐
今天(13日)分享一家三口確診的故事,「這個端午節,很可能是許多人這輩子的最
後一個端午節了.....」對於藝人賈永婕募資到252台高流量氧氣鼻導管全配系統
今天(13日)分享一家三口確診的故事,「這個端午節,很可能是許多人這輩子的最
後一個端午節了.....」對於藝人賈永婕募資到252台高流量氧氣鼻導管全配系統
(HFNC),要捐給各大醫院。柯也對《ETtoday新聞雲》說,「我們醫院急診很需要
HFNC,拜託,救命的!」
「孩子,妳怎麼哭了?妳在哭什麼?」柯世祐在臉書說,救護車載來了一個40幾歲的
男人,旁邊有一個小女孩,男子急診檢傷主訴:咳嗽、有點喘,而男子的母親確診已
經往生。
男人,旁邊有一個小女孩,男子急診檢傷主訴:咳嗽、有點喘,而男子的母親確診已
經往生。
柯世祐表示,他坐在戶外篩檢站內看診,雖背後有著空調,但全身著裝還是忍不住一
直流汗,將患者叫進來診間後,隔著中間的壓克力板,用著會破音的喇叭彼此交談著。
他還原和患者的對話:
柯世祐:你什麼時候開始不舒服?
男子:咳兩天了,今天才發燒、喘。
柯世祐:所以你們家是誰確診,才去檢疫所住啊??
男子:是我女兒,她先開始發燒確診,我去檢疫所陪她住。
柯世祐:那妳母親是什麼時候發病?
男子:我女兒發燒後在家等兩天,才被送去檢疫所住。我媽媽第二天就發燒了,去醫院
隔兩天就走了.......
柯世祐:.......孩子的媽媽呢?
男子:我是單親家庭,我們家就我們三人.......
柯世祐當下在戶外幫病人檢查,全身著裝冒汗的同事,在充滿霧氣的面罩下幫病患抽血,
讓他總是佩服不已;然後在診間的鐵門後,突然聽到了淒厲的哭聲。
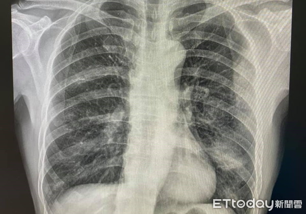
柯世祐說,打開門一看,病患被抽血,小女孩張大著嘴巴,嚎啕大哭,彷彿在向病毒
控訴;X光傳來看起來左下的肺炎,又是一個需要住院的病人,「我跟男人告知需要住
院,他一副已經有準備的神情,眉宇之間,隱約看得出他的不捨。」
控訴;X光傳來看起來左下的肺炎,又是一個需要住院的病人,「我跟男人告知需要住
院,他一副已經有準備的神情,眉宇之間,隱約看得出他的不捨。」
「我指指女孩,那她怎麼辦?」柯世祐表示,男人說「我想辦法找找看有沒有親戚可以
來照顧她.........」他指出,照顧一個確診隔離中的6歲女童,那親戚也要有染疫的
心理準備啊。
柯世祐說,然後,男子跟女兒慢慢解釋,小女孩又一次哭了。他寫道,「孩子,妳怎麼
哭了?妳在哭什麼?妳在哭病毒的無情嗎?它奪走了妳的奶奶,如今也許也要搶走父
親?妳在哭這一走,也許就是永別?還是妳只是單純覺得害怕??」
柯世祐希望這個爸爸可以度過這一關,順利出院。他下班後,看著新聞裡高速公路上
一條一條長龍的車陣相片,「不禁倒吸了一口涼氣,這個端午節,很可能是許多人這
輩子的最後一個端午節了.....」
一條一條長龍的車陣相片,「不禁倒吸了一口涼氣,這個端午節,很可能是許多人這
輩子的最後一個端午節了.....」
對於賈永婕募資到252台HFNC要捐給各大醫院,柯世祐受訪時指出,「我們醫院急診很
需要HFNC,拜託,救命的!每天看著病人死亡,身心都會受很大的摧殘啊?」
本文獲得柯世祐醫師授權。
5.完整新聞連結 (或短網址):
https://www.ettoday.net/news/20210613/2005945.htm
一家三口確診!嬤往生、父住院、6歲女狂哭 醫看新聞倒吸一口氣 | ETtoday生活新聞 | ETtoday新聞雲
「它奪走了妳的奶奶,如今也許也要搶走父親?」新北市雙和醫院急診科醫師柯世祐今天(13日)分享一家三口確診的故事,「這個端午節,很可能是許多人這輩子的最後一個端午節了.....」對於藝人賈永婕募資到252台高流量氧氣鼻導管全配系統(HFNC),要捐給各大醫院。柯也對《ETtoday新聞雲》說,「我們醫 ...
![[圖]](https://cdn2.ettoday.net/images/5685/d5685663.jpg)
6.備註:
※ 一個人三天只能張貼一則新聞,被刪或自刪也算額度內,超貼者水桶,請注意
※ 備註請勿張貼三日內新聞(包含連結、標題等)
這個端午節,很可能是許多人這輩子的最後一個端午節了.....」
看了真讓人鼻酸
如果再持續下去 端午節是不是有可能抽換為中秋節...
--
※ 發信站: 批踢踢實業坊(ptt.cc), 來自: 123.240.9.14 (臺灣)
※ 文章代碼(AID): #1WnOJbqI (Gossiping)
※ 文章網址: https://www.ptt.cc/bbs/Gossiping/M.1623557349.A.D12.html
→ : 綠共政績1F 1.165.157.245 台灣 06/13 12:09
推 : 哥哥抱抱 不要哭QQ2F 118.150.80.175 台灣 06/13 12:09
→ : 皮球踢起來,反正中央還要3年才改選3F 116.241.18.228 台灣 06/13 12:09
推 : my condolence4F 111.82.207.86 台灣 06/13 12:10
推 : 范婦 陳時鐘 看到沒5F 223.139.135.175 台灣 06/13 12:10
推 : 結果綠共蟑螂還在擋疫苗6F 218.166.18.221 台灣 06/13 12:10
→ : 已經有三百多人最後的端午節是去年過的7F 118.171.33.225 台灣 06/13 12:10
→ : 在家等兩天,才被送去檢疫所住.... 唉8F 124.155.174.232 台灣 06/13 12:10
推 : 綠色會無視這種新聞9F 1.175.151.240 台灣 06/13 12:10
推 : 政府殺人 股票漲停10F 123.241.56.100 台灣 06/13 12:11
→ : 時鐘:我說了我負責!!!11F 218.173.85.196 台灣 06/13 12:11
→ : 這個應該也是戰略物資吧12F 111.71.5.49 台灣 06/13 12:11
推 : 齁齁齁 我負責阿~~13F 1.173.17.145 台灣 06/13 12:11
推 : 炒股母豬擊墜+114F 125.231.39.160 台灣 06/13 12:11
噓 : 幹你娘的菜母豬 殺人全家15F 36.226.66.44 台灣 06/13 12:11
→ : 這文章有點太多 但輕症在家 整個政策是錯的16F 124.155.174.232 台灣 06/13 12:11
推 : 難過...17F 180.217.46.190 台灣 06/13 12:11
噓 : 誰叫你投國民黨18F 36.229.140.135 台灣 06/13 12:11
推 : 無感,去年中國一堆這種鼻酸新聞19F 112.104.38.29 台灣 06/13 12:11
推 : 沒人性的政府20F 61.70.193.47 台灣 06/13 12:12
→ : 民進黨讓你們多活一年了 6歲女哭三小21F 223.140.83.133 台灣 06/13 12:12
推 : 今天回家探親的孝心,明天弒父殺母的兇手22F 123.204.86.186 台灣 06/13 12:12
→ : 到現在都沒有足夠的集中隔離場所23F 124.155.174.232 台灣 06/13 12:12
推 : 好難過...24F 1.171.232.66 台灣 06/13 12:12
推 : 綠色是冷血無人性的顏色25F 112.78.95.198 台灣 06/13 12:12
推 : 垃圾政府26F 61.228.152.174 台灣 06/13 12:12
→ : 小朋友確診要找到人照顧真的很難...27F 114.35.125.26 台灣 06/13 12:12
→ : 有DPP就是讚28F 36.230.183.244 台灣 06/13 12:12
→ : 陳時中范雲鄭文燦29F 114.24.93.138 台灣 06/13 12:12
推 : 民進黨讓你多活一年還不感謝喔??30F 42.77.244.55 台灣 06/13 12:12
→ : 信黨信政府31F 36.228.230.127 台灣 06/13 12:12
推 : 生氣,現代的菁英只會顧股市和經濟32F 101.10.15.95 台灣 06/13 12:13
→ : 狗官講我負責都講成習慣了33F 114.27.61.38 台灣 06/13 12:13
推 : 小寶:又不是我叫人放推的..冤有頭,債有..34F 111.82.150.89 台灣 06/13 12:13
噓 : 母豬害你人家破人亡35F 118.168.21.8 台灣 06/13 12:13
推 : 垃圾政府 血疫苗 怎麼做事情的36F 61.64.30.245 台灣 06/13 12:13
推 : 綠色是畜生的顏色37F 27.242.125.6 台灣 06/13 12:13
→ : 對官員來說,老百姓死了只是統計數字,自己38F 123.204.86.186 台灣 06/13 12:13
→ : 垃圾中央39F 114.46.40.214 台灣 06/13 12:13
→ : 家人死了才是喪事40F 123.204.86.186 台灣 06/13 12:13
推 : 雙北市長負責41F 42.73.171.71 台灣 06/13 12:14
推 : 真的是家破人亡,爛政府42F 1.161.96.174 台灣 06/13 12:14
![[圖]](https://i4.disp.cc/imgur/SklQv31.jpg)
推 : 記得找冥盡擋報仇44F 118.166.28.57 台灣 06/13 12:14
推 : 怎麼不去問問范女士怎麼看45F 1.172.121.215 台灣 06/13 12:14
噓 : 817最優質的選擇 乖乖吞下去46F 111.71.53.194 台灣 06/13 12:14
推 : 還是一堆返鄉趴趴走的47F 39.13.161.196 台灣 06/13 12:14
推 : QQ48F 220.142.71.55 台灣 06/13 12:15
推 : 結果中國還在檔疫苗49F 101.12.16.132 台灣 06/13 12:15
推 : 政府無能。讓病毒滅九族文化村?50F 39.9.64.185 台灣 06/13 12:15
推 : 幹你媽的垃圾政府罔顧人命51F 180.176.0.145 台灣 06/13 12:15
推 : 疫苗擋起來 股票漲起來52F 49.159.130.118 台灣 06/13 12:15
推 : 時鐘已負責,人又走一個53F 1.172.119.137 台灣 06/13 12:15
噓 : 唉媽的民進黨最好給我都跪下來54F 220.142.78.132 台灣 06/13 12:15
→ : 結果是一個熱心藝人在想辦法救人55F 1.169.136.154 台灣 06/13 12:15
推 : 唉…這什麼爛政府56F 42.77.92.64 台灣 06/13 12:15
推 : 民進黨無能且官僚的殺人 幹你娘陳時中蔡57F 118.161.91.196 台灣 06/13 12:15
→ : 現成的疫苗不買自行研發貴到靠北的空氣58F 118.168.21.8 台灣 06/13 12:15
→ : 英文 下台一定要關到失智 檢調一定要查59F 118.161.91.196 台灣 06/13 12:15
推 : 相信小英相信黨好嗎?八月就有疫苗了60F 1.200.105.74 台灣 06/13 12:15
→ : 疫苗61F 118.168.21.8 台灣 06/13 12:15
推 : 假新聞,相信政府相信黨62F 220.132.81.96 台灣 06/13 12:16
推 : QQ63F 101.12.40.205 台灣 06/13 12:16
推 : 政府還在睡64F 42.73.116.62 台灣 06/13 12:16
噓 : 比228還慘 是不是想說反正死光了都沒票65F 1.160.155.186 台灣 06/13 12:16
→ : 這種醫療設備不是中央該弄嗎錢呢66F 220.142.78.132 台灣 06/13 12:16
噓 : 綠委嘞?????????????67F 118.166.46.210 台灣 06/13 12:16
→ : 民進黨又殺人了68F 1.165.153.239 台灣 06/13 12:16
推 : 唉…69F 114.35.172.226 台灣 06/13 12:16
推 : 民進黨真的惹毛新北70F 101.136.36.148 台灣 06/13 12:16
推 : 警總政績+371F 1.161.161.252 台灣 06/13 12:16
推 : 幹 媽的 爛政府72F 59.115.123.242 台灣 06/13 12:16
→ : 編了幾千億預算都亂花掉該花的不花73F 220.142.78.132 台灣 06/13 12:16
→ : 這就是中國研發病毒要做的事!74F 49.159.76.235 台灣 06/13 12:16
推 : 不喜歡下次可以不要支持民進黨75F 27.247.106.109 台灣 06/13 12:16
推 : 輕症全送醫醫療體系會爆吧76F 114.37.183.48 台灣 06/13 12:16
→ : 人生最後一個端午節 真適合用在返鄉潮前77F 36.237.219.156 台灣 06/13 12:16
推 : 原來數字也可以有背景故事78F 101.12.41.215 台灣 06/13 12:17
→ : 就只是很現實的取捨79F 114.37.183.48 台灣 06/13 12:17
推 : 看到物資還要藝人捐贈...這政府...80F 61.70.142.45 台灣 06/13 12:17
噓 : 下賤3+11菜酥症沉犯81F 114.136.97.219 台灣 06/13 12:17
→ : 什麼貌似還有點良心的淑芬嘞????82F 118.166.46.210 台灣 06/13 12:17
→ : 難怪一堆人問明末(攤手83F 61.70.142.45 台灣 06/13 12:17
推 : 是誰把病毒帶進台灣的!就不多說了84F 116.241.106.89 台灣 06/13 12:17
推 : 克拉克投書外媒:Taiwan can help!85F 111.243.97.240 台灣 06/13 12:18
推 : 醫生小心 党很小氣的86F 101.10.8.110 台灣 06/13 12:18
→ : 唉 希望他們沒事87F 116.89.141.180 台灣 06/13 12:18
→ : 侯友宜政績+188F 42.73.126.233 台灣 06/13 12:18
→ : 你說了也處理不了 今年沒選舉89F 61.70.142.45 台灣 06/13 12:18
噓 : 這是支共病毒害的 不是政府害的90F 1.160.18.252 台灣 06/13 12:18
→ : 陳時中+范雲根本殺人犯91F 123.193.90.138 台灣 06/13 12:18
推 : 民進党造孽92F 114.137.179.229 台灣 06/13 12:18
→ : 三百多個家庭這樣 殺人犯看到了嗎93F 111.243.121.208 台灣 06/13 12:18
推 : ...無言 R.I.P.94F 42.77.165.236 台灣 06/13 12:18
推 : 綠共政績萬歲95F 114.136.22.118 台灣 06/13 12:18
推 : 加油,再等等國產疫苗!!你們一定要撐住等96F 223.137.91.51 台灣 06/13 12:19
推 : 這到底要怎麼負責 哀97F 114.37.185.171 台灣 06/13 12:19
→ : 小英的高端疫苗!98F 223.137.91.51 台灣 06/13 12:19
噓 : 拿納稅錢不做事的爛政府跟CDC99F 175.183.33.178 台灣 06/13 12:19
噓 : 看到小朋友得肺炎 一個人怎麼隔離100F 180.176.0.145 台灣 06/13 12:20
噓 : !101F 111.249.129.193 台灣 06/13 12:20
→ : 操你媽的只會報數 齁沙小102F 180.176.0.145 台灣 06/13 12:20
推 : 悲劇不斷上演中,然後蔡英文說我們沒有炒103F 218.166.45.119 台灣 06/13 12:20
推 : 新天龍國零確診卻霸佔疫苗104F 101.10.45.145 台灣 06/13 12:20
→ : 股,這就是817選的政府105F 218.166.45.119 台灣 06/13 12:20
→ : 噓錯等等推回來!106F 111.249.129.193 台灣 06/13 12:20
推 : 民進黨萬歲107F 49.216.172.2 台灣 06/13 12:21
推 : QQ 為什麼這東西是藝人捐 不是CDC買?108F 125.230.126.147 台灣 06/13 12:21
推 : @蔡英文 @陳時中 @范雲 ……唉…109F 219.85.41.111 台灣 06/13 12:21
→ : 社會安全網:以指揮中心施打順序為主 遺憾110F 59.126.129.224 台灣 06/13 12:21
推 : 殺人魔根本無感111F 223.138.172.197 台灣 06/13 12:21
推 : 希望雙和趕快能收到112F 1.169.204.131 台灣 06/13 12:22
推 : 炒股殺人魔113F 180.217.209.163 台灣 06/13 12:22
推 : 綠共都定調萬華是破口 全部推給人民114F 49.216.173.161 台灣 06/13 12:22
→ : 已經勸導又限制高速公路,還是一堆人115F 111.249.129.193 台灣 06/13 12:22
推 : 這位爸爸也隔離了 家計怎辦?116F 180.176.0.145 台灣 06/13 12:22
→ : 要回家117F 111.249.129.193 台灣 06/13 12:22
噓 : 破口就破口~中國人哭歸哭~鍋照甩!118F 111.248.146.89 台灣 06/13 12:23
推 : 有人還在擋疫苗呢119F 114.137.10.235 台灣 06/13 12:23
→ : 家破人亡 小孩怎麼辦?120F 180.217.209.163 台灣 06/13 12:23
推 : 希望爸爸好起來121F 36.226.141.9 台灣 06/13 12:23
推 : 有政府好安心122F 1.200.185.173 台灣 06/13 12:23
噓 : 下次別投錯了123F 223.141.194.93 台灣 06/13 12:23
推 : 四趴五毛還在嘴管制咧,寧可全家確診也124F 118.161.174.106 台灣 06/13 12:23
推 : 垃圾政府 呼吸器買了嗎 訂了嗎 一定都沒有125F 114.33.43.247 台灣 06/13 12:23
→ : 要反鄉把病毒帶回家126F 118.161.174.106 台灣 06/13 12:24
→ : 還在四啪五毛 嘴臭去刷牙127F 114.33.43.247 台灣 06/13 12:24
推 : 騙神仔內閣政績128F 101.12.34.37 台灣 06/13 12:24
→ : 這些政績應該綠共選舉時一一攤露出來129F 112.78.89.110 台灣 06/13 12:24
→ : !!讓人民知道他們為了國慘疫苗的無
→ : !!讓人民知道他們為了國慘疫苗的無
推 : 覺青、網軍有看到嗎?明天也許換你們家131F 36.231.156.180 台灣 06/13 12:25
→ : 恥!132F 112.78.89.110 台灣 06/13 12:25
噓 : 皇帝:哭三小不是叫你等了133F 114.137.14.245 台灣 06/13 12:25
推 : 時終范婦政績+1134F 49.216.22.211 台灣 06/13 12:25
推 : 小英政績135F 114.47.9.137 台灣 06/13 12:26
噓 : 還有一堆人趕返鄉帶病毒回家呢!什事136F 58.114.145.54 台灣 06/13 12:26
推 : 阿北政績+3137F 220.141.71.195 台灣 06/13 12:26
→ : 都推給政府,還口花花的嘴炮!還是人138F 58.114.145.54 台灣 06/13 12:26
推 : 蔡英文陳時中范雲政績+3139F 180.177.32.14 台灣 06/13 12:26
→ : 嗎!140F 58.114.145.54 台灣 06/13 12:27
推 : 看了真的很生氣141F 223.139.171.15 台灣 06/13 12:27
推 : 小英叫你們等國產疫苗啊 又不是不做事?142F 124.218.71.88 台灣 06/13 12:27
推 : 那些為了自我利益擋疫苗的一定會有報應143F 218.166.205.34 台灣 06/13 12:27
推 : 可以正面回答我!誰把病毒帶進台灣?144F 116.241.106.89 台灣 06/13 12:28
推 : 垃圾政府繼續擋145F 36.231.119.6 台灣 06/13 12:28
推 : QQ146F 27.96.244.92 台灣 06/13 12:28
噓 : 媽的對一個小女孩講那些是怎樣147F 180.176.74.111 台灣 06/13 12:28
→ : 3+11 政府繼續保護!!! 有背景就是不一樣148F 36.229.137.135 台灣 06/13 12:29
推 : 不要在早上讓我看見這種東西... 嗚嗚嗚149F 111.246.155.174 台灣 06/13 12:29
→ : 哭北跟侯吉,這幾條命算你們頭上!150F 114.137.200.197 台灣 06/13 12:29
推 : 幹!看了好生氣幹幹幹151F 42.76.2.78 台灣 06/13 12:29
推 : 阿彌陀佛152F 180.217.14.90 台灣 06/13 12:29
噓 : 共畜帶給全世界病毒,能放過你一個小153F 58.114.145.54 台灣 06/13 12:29
→ : 小台灣膩!說人話阿!
→ : 小台灣膩!說人話阿!
推 : 唉,一個好好的家庭變成這樣,而且無155F 218.166.232.210 台灣 06/13 12:30
→ : 法挽回了
→ : 法挽回了
推 : 新北繼續喊話不做事157F 219.70.43.141 台灣 06/13 12:30
→ : 那些說負責的人要負法律責任嗎?158F 36.229.137.135 台灣 06/13 12:30
推 : 救救這個父親159F 223.140.126.239 台灣 06/13 12:30
→ : 小朋友不能上班 唉160F 114.36.139.151 台灣 06/13 12:30
推 : 哀傷QQ 沒辦法做什麼161F 118.170.110.17 台灣 06/13 12:30
推 : 給范婦上夾棍162F 180.217.10.22 台灣 06/13 12:30
推 : 政府繼續不蓋大型收容所 面子比人命重要163F 61.231.187.208 台灣 06/13 12:30
推 : QQ164F 114.37.155.125 台灣 06/13 12:30
推 : 這是人民的選擇165F 36.237.180.218 台灣 06/13 12:31
推 : 好了啦蟑螂,政府整天抗中保台,結果病毒166F 180.217.73.197 台灣 06/13 12:31
→ : 有政府 真放心167F 122.99.38.184 台灣 06/13 12:31
→ : 都擋不了,不用再護航了168F 180.217.73.197 台灣 06/13 12:31
推 : 小英擊殺+1169F 118.160.14.99 台灣 06/13 12:31
噓 : 民進黨讓你多活一年,但死的比其他國家多170F 27.246.158.17 台灣 06/13 12:32
推 : 范婦 時中 睡的好嗎?171F 223.138.225.254 台灣 06/13 12:33
→ : 沒死的也讓你在恐懼中等死172F 27.246.158.17 台灣 06/13 12:33
推 : 某樓蟑螂連鬼也想騙 跟院長學的?173F 180.217.0.242 台灣 06/13 12:33
→ : 這個政府殺這麼多人怎麼還睡得著?174F 36.227.34.164 台灣 06/13 12:33
推 : 民進黨殺人政府175F 114.42.5.248 台灣 06/13 12:34
推 : L們選擇在快速道路跟公訴高路上塞車176F 1.163.18.120 台灣 06/13 12:34
推 : 眼睛有點酸酸的。幹!177F 118.160.201.63 台灣 06/13 12:34
推 : 垃圾政府謀財害命178F 36.225.115.10 台灣 06/13 12:34
推 : 范雲179F 114.137.152.90 台灣 06/13 12:34
推 : 大s說:蔡 屠殺大家, 很沉重的抗議,是全180F 223.137.225.163 台灣 06/13 12:35
→ : 鬼魂不會找錯人的蔡陰魂蘇真娼陳屎中等著181F 180.217.0.242 台灣 06/13 12:35
→ : 台灣人的os。182F 223.137.225.163 台灣 06/13 12:35
推 : 時鐘 我已經負責了 還要怎麼樣183F 27.246.7.175 台灣 06/13 12:35
噓 : 這就是垃圾政府的防疫184F 49.216.33.24 台灣 06/13 12:35
推 : 淚185F 111.248.97.221 台灣 06/13 12:35
推 : 投民進黨死全家186F 42.77.5.79 台灣 06/13 12:35
推 : 政府殺人187F 42.77.24.232 台灣 06/13 12:36
推 : 某些蟑螂只懂選舉 不懂民間疾苦188F 42.77.95.108 台灣 06/13 12:36
推 : 幾千億花到哪裡去啦? 連個設備也搞不定189F 36.229.90.206 台灣 06/13 12:36
推 : 這種悲慘的世界都是發生在老百姓身上190F 219.91.33.38 台灣 06/13 12:37
→ : 政府你們看到了嗎?
→ : 政府你們看到了嗎?
噓 : 給DPP多一年的時間準備卻什麼都沒準備192F 36.227.49.130 台灣 06/13 12:37
→ : 只大內外宣了一年
→ : 只大內外宣了一年
推 : 早上看另個新聞 賈永婕募到250機台194F 101.9.112.151 台灣 06/13 12:38
推 : 唉..QQ195F 114.36.236.146 台灣 06/13 12:39
推 : 這意思是爸爸倒下去,女兒只有隔離196F 111.82.12.161 台灣 06/13 12:40
噓 : 抗中保台 死幾個賤民又怎麼了197F 114.39.216.101 台灣 06/13 12:40
推 : 時鐘:你怎麼不早說198F 111.82.71.50 台灣 06/13 12:41
推 : 政府是要怎麼負責?199F 1.170.55.110 台灣 06/13 12:41
→ : 新北不努力防有屁用喔200F 1.173.137.211 台灣 06/13 12:41
→ : 這樣女兒怎麼辦@@201F 111.82.12.161 台灣 06/13 12:42
推 : 陳時中:不是都說了 我負責202F 223.137.64.65 台灣 06/13 12:42
→ : 就新北市完全沒進步耶203F 1.173.137.211 台灣 06/13 12:42
推 : 然後政府還在護國產擋疫苗,真的是天204F 111.248.165.213 台灣 06/13 12:42
→ : 要知道是DPP害你們至此205F 114.24.212.124 台灣 06/13 12:42
→ : 大地大不如養肥黨的荷包大206F 111.248.165.213 台灣 06/13 12:42
推 : Qq207F 223.138.15.56 台灣 06/13 12:42
推 : 唉208F 101.9.96.229 台灣 06/13 12:42
推 : 親子一起住院吧。妹妹加油!209F 42.73.28.164 台灣 06/13 12:43
→ : 疫苗晚一天,就會死更多人210F 101.9.96.229 台灣 06/13 12:43
推 : 女孩好好活著去找蔡英文陳時中報仇211F 223.138.148.156 台灣 06/13 12:43
推 : 去轉給CDC看212F 125.231.179.45 台灣 06/13 12:44
噓 : 還一堆往南下跑213F 223.141.52.201 台灣 06/13 12:44
噓 : 垃圾民進黨214F 223.139.4.224 台灣 06/13 12:44
推 : 唉都2021還有父母死於瘟疫這種事215F 125.227.199.203 台灣 06/13 12:44
推 : 支援挖鼻孔照 謝謝216F 1.170.80.252 台灣 06/13 12:44
推 : 還有人再獵巫,綠共一定會有報應全家確診的217F 1.175.248.145 台灣 06/13 12:45
噓 : 怪防疫破口台北市萬華吧 跟政府沒關係218F 111.71.61.74 台灣 06/13 12:45
推 : 3+11219F 39.11.69.210 台灣 06/13 12:46
推 : 阿中部長 已經負責了 安心的走吧220F 36.228.56.61 台灣 06/13 12:46
推 : 垃圾綠共221F 116.241.165.65 台灣 06/13 12:46
推 : QQ222F 219.68.90.167 台灣 06/13 12:47
推 : 妹妹不怕QQ223F 223.140.127.58 台灣 06/13 12:47
![[圖]](https://i4.disp.cc/imgur/u974xYTh.jpg)
推 : 難過225F 36.229.198.166 台灣 06/13 12:47
→ : 台灣人遇到危機 總訴諸悲情憤慨 死性226F 36.226.225.238 台灣 06/13 12:47
→ : 垃圾政府 呼吸器買了嗎 訂了嗎 一定都沒227F 223.137.5.225 台灣 06/13 12:47
推 : 政府228F 39.12.228.139 台灣 06/13 12:47
推 : 黨和時中幫你們多活了一年怎麼不感激229F 118.169.222.120 台灣 06/13 12:47
推 : 有400多個端午都過不了了230F 117.56.252.158 台灣 06/13 12:47
→ : ?231F 118.169.222.120 台灣 06/13 12:47
推 : 死亡是數字 影響家庭不計其數232F 49.216.21.112 台灣 06/13 12:48
→ : 罵一罵 哭一哭 下次問題發生還是一樣233F 36.226.225.238 台灣 06/13 12:48
推 : 犯婦該死234F 114.35.216.187 台灣 06/13 12:48
推 : 疫苗呢?235F 49.159.255.7 台灣 06/13 12:49
推 : 那就一起死死啊,反正黨沒差236F 42.77.130.10 台灣 06/13 12:49
推 : 陰魂喪鐘響起237F 180.217.30.76 台灣 06/13 12:50
推 : 3+11238F 180.217.12.168 台灣 06/13 12:50
推 : 綠的只會推給侯友宜239F 39.10.103.154 台灣 06/13 12:50
→ : 牙醫:我負責240F 180.217.12.168 台灣 06/13 12:50
噓 : 感謝范雲 時鐘241F 124.6.29.152 台灣 06/13 12:50
推 : 對於垃圾政府來說。這些人只是數字242F 220.132.77.186 台灣 06/13 12:50
推 : 高官側翼繼續廢言243F 123.193.40.212 台灣 06/13 12:51
推 : 綠共只在意他們的選票,人命就是統244F 101.12.61.251 台灣 06/13 12:51
→ : 計上的數字增加而已
→ : 計上的數字增加而已
→ : 這個垃圾前些日子還想著過中秋節...246F 114.47.41.187 台灣 06/13 12:52
推 : 去找范雲陳情247F 220.143.40.113 台灣 06/13 12:52
推 : 有政府,會死心248F 39.12.166.127 台灣 06/13 12:52
推 : 真的家破人亡了249F 114.136.92.168 台灣 06/13 12:52
推 : 我就問那頭母豬還要背多少冤魂?250F 36.235.53.150 台灣 06/13 12:53
→ : [url=https://imgur.com/NaRQOO4]https://i.imgur.com/NaRQOO4.jpg[/url]
→ : [url=https://imgur.com/NaRQOO4]https://i.imgur.com/NaRQOO4.jpg[/url]
![[圖]](https://i4.disp.cc/imgur/NaRQOO4h.jpg)
推 : 小英政績+1252F 61.230.66.159 台灣 06/13 12:53
推 : 下去囉253F 1.164.24.252 台灣 06/13 12:55
→ : 韓劇:流感254F 49.217.113.103 台灣 06/13 12:55
→ : 范婦關心遠端教育255F 1.171.134.212 台灣 06/13 12:56
推 : 只要疫苗還沒普及,每個節日都變清明節256F 106.107.240.109 台灣 06/13 12:56
推 : 好難過...我們真的需要足夠的疫苗257F 114.46.208.56 台灣 06/13 12:56
推 : 唉…難過258F 39.8.193.31 台灣 06/13 12:57
推 : 民進黨讓你多活一年還不感謝喔??259F 39.10.187.36 台灣 06/13 12:57
→ : 繼續下去端午都變清明節了吧...260F 110.30.48.227 台灣 06/13 12:57
推 : 陳時中到底殺了多少人啊261F 111.242.214.249 台灣 06/13 12:57
推 : 說要負責的人至今還在立院跟立委唇262F 123.194.13.6 台灣 06/13 12:57
→ : 槍舌戰,唉唉…
→ : 槍舌戰,唉唉…
推 : 開始寫文章了?264F 1.200.177.246 台灣 06/13 12:57
推 : dpp:台灣防疫有口罩就夠 不急缺疫苗265F 101.9.112.151 台灣 06/13 12:58
→ : 去找豬鼻討266F 180.217.16.75 台灣 06/13 12:59
噓 : 817殺人267F 1.171.4.145 台灣 06/13 12:59
推 : 票投民進黨 台灣火葬場268F 61.61.82.206 台灣 06/13 13:00
推 : 唉269F 220.129.24.107 台灣 06/13 13:00
推 : 民進黨害死台灣人270F 114.37.76.212 台灣 06/13 13:00
推 : DDP的鈔錢部屬271F 123.241.206.157 台灣 06/13 13:01
推 : 媽的dpp幹,草菅人命,到現在還那副德272F 27.147.8.83 台灣 06/13 13:01
→ : 性
→ : 性
推 : 蟑螂真敬業274F 36.238.213.151 台灣 06/13 13:02
推 : 民間動的比拉基政府還快 噁爛資進黨吃屎275F 36.238.115.245 台灣 06/13 13:03
推 : @蔡英文276F 49.217.174.251 台灣 06/13 13:04
推 : 請找范雲&3+11的負責人277F 42.77.242.126 台灣 06/13 13:05
→ : 算在陳時中身上278F 111.248.96.137 台灣 06/13 13:05
推 : 無恥垃圾政府,到底要害死多少人民279F 42.75.213.25 台灣 06/13 13:06
推 : 民進黨280F 125.230.35.102 台灣 06/13 13:06
推 : 心酸,台灣怎麼變成第三世界了!281F 36.237.196.158 台灣 06/13 13:06
推 : 冷血邪惡綠282F 223.136.43.239 台灣 06/13 13:06
噓 : 怪武漢中共無情283F 59.115.36.127 台灣 06/13 13:06
噓 : 雖然一開始是抒情,但應該是暗酸端午車潮都284F 220.143.104.106 台灣 06/13 13:07
→ : 垃圾政府 全面執政全面卸責285F 39.13.1.107 台灣 06/13 13:07
→ : 是帶病回老家過節吧286F 220.143.104.106 台灣 06/13 13:07
推 : 南無地藏王菩薩287F 1.173.111.28 台灣 06/13 13:08
推 : 政府殺人288F 219.68.111.34 台灣 06/13 13:08
推 : 社會局敢處理嗎?289F 106.105.12.12 台灣 06/13 13:08
推 : 真難過 政府還在撕裂台灣290F 223.140.98.242 台灣 06/13 13:09
推 : 蔡英文政績+1291F 220.129.206.222 台灣 06/13 13:09
推 : 要哭了啦QQ292F 111.71.2.35 台灣 06/13 13:09
推 : QQ293F 203.217.116.152 台灣 06/13 13:10
推 : 真的要蓋圓艙醫院,讓輕症的人也可以294F 36.237.196.158 台灣 06/13 13:10
→ : 受到照顧
→ : 受到照顧
噓 : 不然投國民黨嗎296F 36.230.239.153 台灣 06/13 13:11
推 : 疫情快過去啊......297F 27.247.132.119 台灣 06/13 13:12
推 : QQ298F 36.228.100.53 台灣 06/13 13:13
推 : 菜政府照常在疫苗分配作文章,無視民299F 111.241.68.147 台灣 06/13 13:14
→ : 眾死活。
→ : 眾死活。
→ : 不然.JPG 支離破碎的發言301F 111.71.215.49 台灣 06/13 13:14
推 : 黨的信徒繼續出來認知作戰。302F 114.34.80.180 台灣 06/13 13:14
噓 : 今天還不是端午節ㄅ303F 49.216.50.207 台灣 06/13 13:15
推 : 要是當初沒破口就好了304F 125.231.179.45 台灣 06/13 13:16
推 : 算范雲頭上305F 123.110.106.72 台灣 06/13 13:16
推 : 雙北這麼嚴重 疫苗還比其他城市少…306F 114.25.2.251 台灣 06/13 13:17
推 : QQ307F 114.41.163.44 台灣 06/13 13:17
推 : 好啦 我負責啦308F 111.255.131.148 台灣 06/13 13:17
推 : 民進黨要負全責309F 27.242.0.205 台灣 06/13 13:18
推 : 3+11,犯婦,鬧鐘,都是殺人罪310F 49.216.131.143 台灣 06/13 13:19
推 : 結果最需要疫苗的雙北,並不是拿最多,該311F 110.30.9.189 台灣 06/13 13:20
→ : 死一萬次到政府
→ : 死一萬次到政府
推 : 中央政府在做什麼?313F 111.71.118.10 台灣 06/13 13:20
→ : 中央還在搞政治
→ : 中央還在搞政治
→ : 把雙北當養蠱場,政治鬥爭地方,陷害政敵315F 110.30.9.189 台灣 06/13 13:21
→ : 的利器,就不是當自己家園
→ : 的利器,就不是當自己家園
推 : 你各位817要認命 韭菜等著被收割317F 42.72.146.151 台灣 06/13 13:22
→ : dpp真的很會利用疫病,以前高雄登革熱用318F 110.30.9.189 台灣 06/13 13:24
推 : 政治防疫會出事的319F 39.11.71.1 台灣 06/13 13:24
→ : 一堆行政程序搞人,現在新冠利用疫苗搞人320F 110.30.9.189 台灣 06/13 13:24
→ : 手段幾乎一樣,非我黨派,其心必異
→ : 手段幾乎一樣,非我黨派,其心必異
推 : 下輩子別來這垃圾鬼島了322F 223.136.221.8 台灣 06/13 13:24
噓 : DPP ....真的別以為所有人都建忘323F 223.137.39.223 台灣 06/13 13:24
→ : 長大記得投對人324F 118.150.195.211 台灣 06/13 13:25
推 : 每次看到一家染疫,小孩獨留。都會覺得很難過325F 36.228.72.133 台灣 06/13 13:25
推 : 畜及綠326F 36.233.124.213 台灣 06/13 13:26
→ : 親戚還有可能染疫風險,可能更沒有人願意來了327F 36.228.72.133 台灣 06/13 13:26
→ : 爛政府328F 114.136.201.130 台灣 06/13 13:26
推 : 希望有後續 知道小朋友有人照顧329F 223.137.232.127 台灣 06/13 13:26
→ : 高雄只換市長又不是事務官全換,兩次疫病330F 110.30.9.189 台灣 06/13 13:26
→ : ,中央政府態度差多少,白癡都看得出來,
→ : ,中央政府態度差多少,白癡都看得出來,
推 : 小孩怎麼感染的??332F 111.71.214.241 台灣 06/13 13:26
→ : 就政治算計333F 110.30.9.189 台灣 06/13 13:26
→ : 犯婦殺人啊3+11334F 61.231.52.23 台灣 06/13 13:27
推 : 綠共害死人335F 118.167.127.27 台灣 06/13 13:27
推 : 不說了336F 111.65.68.21 新加坡 06/13 13:27
推 : QQ,先補血,再看看有沒有垃圾蟑螂來337F 111.71.32.163 台灣 06/13 13:27
→ : 洗風向。
→ : 洗風向。
推 : 時鐘會負責 不用怕(?339F 223.137.204.78 台灣 06/13 13:28
推 : 817的優質選擇 屠殺台灣人 可悲340F 111.71.0.4 台灣 06/13 13:28
→ : 犯341F 220.142.218.198 台灣 06/13 13:29
推 : 817:讓你們多活一年了還不感恩?342F 114.40.153.123 台灣 06/13 13:29
推 : 3+11343F 39.11.162.85 台灣 06/13 13:29
推 : 難過qq344F 43.241.160.44 台灣 06/13 13:30
推 : 鼻酸345F 175.98.5.122 台灣 06/13 13:30
推 : 綠共政績 台灣還要上演幾次這樣的事情346F 42.77.169.194 台灣 06/13 13:30
→ : ?
→ : ?
推 : 謝謝范雲348F 111.241.168.250 台灣 06/13 13:30
推 : 說要負責的人,還在台上349F 111.82.127.207 台灣 06/13 13:31
→ : 蔡英文:等到7月底就有國產疫苗了。350F 101.12.27.15 台灣 06/13 13:31
推 : 不相信這小女生長大會投國民黨351F 1.200.123.75 台灣 06/13 13:32
→ : 這就是3+11造成後果。352F 111.240.232.11 台灣 06/13 13:32
推 : 人家端午節就說不要群聚了353F 223.137.32.245 台灣 06/13 13:33
噓 : 政府不封城~354F 61.224.82.203 台灣 06/13 13:33
推 : 該死的狗畜生資進黨 毀滅台灣355F 123.192.177.34 台灣 06/13 13:33
推 : 寄給蔡英文讀356F 73.223.7.85 美國 06/13 13:33
推 : 范婦 陳時中:357F 111.82.100.22 台灣 06/13 13:33
推 : 最後一個端午節.....想哭358F 39.9.97.102 台灣 06/13 13:35
推 : 反正死的都是國民黨票源 綠共當然會359F 27.52.136.92 台灣 06/13 13:35
→ : 說CDC防疫做的很好
→ : 說CDC防疫做的很好
→ : 假博士政績+1361F 111.248.68.189 台灣 06/13 13:35
推 : 都說了 雞腿 你下單會怪自己嗎362F 61.228.249.248 台灣 06/13 13:36
推 : QQ363F 42.72.3.92 台灣 06/13 13:36
推 : 垃圾政府364F 182.234.89.4 台灣 06/13 13:38
推 : 未看先猜,有人看成柯文哲365F 101.10.11.215 台灣 06/13 13:39
推 : CDC:醫療量充足,物資充裕.(攤手)366F 101.10.5.5 台灣 06/13 13:39
推 : 蔡英文妳有看到嗎?死很多人了367F 111.71.221.0 台灣 06/13 13:39
推 : 蔡英文是把台灣帶進黑暗深淵的歷史368F 114.39.102.116 台灣 06/13 13:40
→ : 罪人,遺臭萬年
→ : 罪人,遺臭萬年
推 : 政府還在大內宣疫苗夠有政府好棒棒,順便鬥370F 39.9.132.231 台灣 06/13 13:41
→ : 非民進黨縣市長,幹這綠共政府有夠垃圾的
→ : 非民進黨縣市長,幹這綠共政府有夠垃圾的
推 : :(372F 1.200.107.120 台灣 06/13 13:42
推 : 狗政府唯一的能力 派出更多的蟑螂373F 110.26.7.43 台灣 06/13 13:42
推 : 范三桂:看我幹嘛,干我屁事…374F 180.217.57.131 台灣 06/13 13:43
推 : 綠共的鍋全民背375F 42.76.242.47 台灣 06/13 13:43
推 : 每天都要20幾個人去世,20幾個破碎376F 112.105.120.118 台灣 06/13 13:44
→ : 家庭,民進黨鐵了心還在卡BNT,唉唉
→ : ,dpper會有報應的。
→ : 家庭,民進黨鐵了心還在卡BNT,唉唉
→ : ,dpper會有報應的。
→ : 讓中國把病傳出國就會有這樣的故事379F 101.12.16.161 台灣 06/13 13:44
→ : 世界各地都發生過了
→ : 世界各地都發生過了
→ : R.I.P.381F 118.165.201.190 台灣 06/13 13:44
推 : 操你媽 那些擋疫苗的垃圾382F 138.75.28.57 新加坡 06/13 13:44
→ : 反觀政客做了什麼383F 61.65.129.57 台灣 06/13 13:45
推 : 想吃血粽子不行啊?奇怪耶!384F 185.189.161.29 台灣 06/13 13:46
噓 : HFNC急用需求多,屎鐘在睡覺嗎?中央只385F 112.78.74.216 台灣 06/13 13:47
→ : 出張嘴!
→ : 出張嘴!
推 : 側翼:反正沒燒到我家 一群死沒良心的387F 114.33.155.67 台灣 06/13 13:47
推 : 股價還沒到,再忍一下台灣人388F 1.200.4.242 台灣 06/13 13:48
噓 : 蔡英文在吃法國菜 不要吵389F 180.217.4.217 台灣 06/13 13:48
推 : 加油390F 42.77.47.71 台灣 06/13 13:48
噓 : 范婦、胖周瑜丶機師工會、肥笛;冤有頭債391F 114.24.248.241 台灣 06/13 13:49
→ : 有主,冤魂請記得找對人
→ : 有主,冤魂請記得找對人
推 : 覺得 3+11 害慘的393F 223.137.61.178 台灣 06/13 13:49
→ : 400多條人命去找害你們的犯婦 光頭
→ : 時鐘 小英 討命
→ : 400多條人命去找害你們的犯婦 光頭
→ : 時鐘 小英 討命
推 : 這個端午節 不好過了唉~396F 27.246.126.23 台灣 06/13 13:51
推 : 反正總統府那個王八蛋無視啊397F 39.12.96.253 台灣 06/13 13:51
推 : 快了,國產疫苗快來了喔,相信台灣價值398F 118.166.46.30 台灣 06/13 13:51
推 : 希望爸爸加油努力撐住!!!399F 223.139.200.71 台灣 06/13 13:53
噓 : 兇手大家都知道是誰唷400F 1.200.162.132 台灣 06/13 13:54
推 : 爸爸加油401F 1.171.235.156 台灣 06/13 13:55
推 : 唉…402F 223.140.216.113 台灣 06/13 13:55
推 : 3+11403F 223.138.86.157 台灣 06/13 13:55
推 : 難過404F 49.216.46.91 台灣 06/13 13:55
推 : 請用選票制裁無良政府405F 1.169.235.27 台灣 06/13 13:56
推 : 不然你要投_?406F 180.217.203.42 台灣 06/13 13:56
→ : 蔡英文現在也只是告訴你 八月 等八月 自己407F 36.239.61.171 台灣 06/13 13:57
→ : 想辧法活到八月
→ : 想辧法活到八月
噓 : 陳時鐘就說他要負責,你們還想怎樣409F 39.9.138.206 台灣 06/13 13:58
推 : 唉 這波下來 多少家破人亡 破產 生計410F 220.135.238.42 台灣 06/13 13:58
推 : 這悲劇還要人民再看多少411F 220.137.17.95 台灣 06/13 13:58
推 : 媽的, 政府還在保護自己!412F 49.216.33.53 台灣 06/13 13:58
→ : 出問題的 3+11 人禍政策413F 220.135.238.42 台灣 06/13 13:58
推 : 爸爸加油,一定要好起來414F 219.68.210.216 台灣 06/13 13:59
推 : QQ415F 1.169.198.217 台灣 06/13 13:59
推 : GDP>>>>>人命 、課本不是都有教416F 180.217.203.42 台灣 06/13 13:59
→ : 希望這位爸爸能康復417F 220.135.238.42 台灣 06/13 14:00
推 : 綠畜出來償命啊 垃圾婊子418F 111.71.30.101 台灣 06/13 14:00
→ : 鼻酸419F 101.10.14.148 台灣 06/13 14:00
推 : 妹妹妳要記得華航&政府高層現在還在爽爽過420F 223.138.54.153 台灣 06/13 14:01
→ : 日子
→ : 日子
推 : 綠畜:原本就有病422F 27.52.71.69 台灣 06/13 14:04
推 : 難過423F 49.158.139.81 台灣 06/13 14:04
→ : 別人的小孩死不完,高端買起來!424F 123.110.206.61 台灣 06/13 14:04
噓 : 政府還在睡 側翼蟑螂還在扯後腿425F 114.32.3.14 台灣 06/13 14:05
→ : 幫高調426F 42.77.255.87 台灣 06/13 14:07
推 : 為了國產你各位自行注意安全啊427F 223.141.245.78 台灣 06/13 14:07
推 : 范婦!林婦!馬的你們繼續裝瞎!428F 223.136.243.140 台灣 06/13 14:07
推 : 綠共害慘人429F 223.138.140.222 台灣 06/13 14:08
推 : 人民需要疫苗!!!430F 61.61.93.229 台灣 06/13 14:08
噓 : 記得找萬華破口,這個垃圾市長索命431F 219.85.4.120 台灣 06/13 14:08
推 : 政府真的不要說自己盡力了432F 114.46.49.212 台灣 06/13 14:08
→ : 這種慘劇一再發生只有政府能解
→ : 這種慘劇一再發生只有政府能解
推 : ...434F 219.70.199.128 台灣 06/13 14:09
推 : QQ希望這一家早日康復…435F 111.253.199.176 台灣 06/13 14:09
推 : QQ...436F 223.141.178.148 台灣 06/13 14:12
噓 : 民進黨437F 36.227.172.132 台灣 06/13 14:15
噓 : 幹你 DPP 算到你們頭上438F 42.72.41.167 台灣 06/13 14:15
推 : 就高層而言,就是個冷冷的報著的數字+3罷439F 42.72.8.15 台灣 06/13 14:15
→ : 了
→ : 了
推 : 蔡英文:下令阿嬤復活,父親不能死441F 182.235.181.101 台灣 06/13 14:20
噓 : R.I.P.442F 221.158.64.244 南韓 06/13 14:22
噓 : 還要上新聞拜託給醫療器材 政府這一年到443F 111.82.144.109 台灣 06/13 14:22
→ : 底在幹嘛?
→ : 底在幹嘛?
→ : 就繼續移動沒關係阿刁民們445F 122.117.148.66 台灣 06/13 14:23
推 : 拜託還安全的人不要到處亂跑446F 110.26.222.44 台灣 06/13 14:24
推 : 蔡英文殺人兇手447F 114.47.179.113 台灣 06/13 14:24
→ : 死的為什麼不是蔡英文448F 49.217.175.70 台灣 06/13 14:25
→ : 妹妹長大記得不要投綠共喔呵呵449F 61.220.94.3 台灣 06/13 14:25
→ : 人民做錯了什麼 需要承擔家庭破碎的果??450F 49.217.175.70 台灣 06/13 14:26
推 : 蔡英文暴政451F 101.9.119.105 台灣 06/13 14:26
→ : 政府殺人不眨眼452F 1.161.213.86 台灣 06/13 14:28
噓 : 該屎的不屎,頸上頂馬桶的台灣鯛才真453F 58.114.145.54 台灣 06/13 14:28
→ : 該屎!口花花酸嘴畜
→ : 該屎!口花花酸嘴畜
推 : 結果綠共蟑螂還在擋疫苗455F 27.52.226.200 台灣 06/13 14:29
→ : 政府立馬發標1450宣傳標案。花錢買醫材?456F 180.177.25.254 台灣 06/13 14:29
推 : 為什麼都沒有民進黨的人死?喔對了 都打疫457F 223.138.135.254 台灣 06/13 14:30
→ : 苗了
→ : 苗了
![[圖]](https://i4.disp.cc/imgur/zNzvJZE.jpg)
推 : 疫情趨緩,很高興460F 101.12.46.139 台灣 06/13 14:34
推 : 南部有疫苗啊 怕屁哦461F 220.137.14.141 台灣 06/13 14:34
→ : 感謝政府,妻離子散家破人亡是政府跟蔡462F 118.166.196.179 台灣 06/13 14:35
→ : 蘇陳的德政
→ : 蘇陳的德政
推 : 小女孩 好不忍 QQ 民進黨有點良心別在464F 101.9.134.238 台灣 06/13 14:36
→ : 意識形態
→ : 意識形態
噓 : 八卦板的趕快出去玩或返鄉ㄚ466F 27.52.30.23 台灣 06/13 14:36
推 : 唉467F 125.231.44.214 台灣 06/13 14:36
推 : 幾百條人命 垃圾菸黨 的壽命能怎麼負責?468F 42.73.237.156 台灣 06/13 14:37
推 : 范婦再躲啊,幹469F 114.137.132.136 台灣 06/13 14:38
→ : 別急 還要再死個一千人以上470F 111.249.102.13 台灣 06/13 14:39
推 : 不封城就是每天殺20個人471F 60.248.82.210 台灣 06/13 14:41
推 : 知義務即可472F 114.34.122.82 台灣 06/13 14:43
推 : 真的害人不淺473F 150.117.137.94 台灣 06/13 14:46
噓 : 柯韓糞又死了 全家死光 ㄏㄏ474F 118.165.218.63 台灣 06/13 14:49
推 : 時鐘:我負責475F 150.116.86.38 台灣 06/13 14:50
推 : 罷免可以連署了嗎?476F 1.200.241.196 台灣 06/13 14:51
推 : 可以去上班在室內中央空調下脫口罩一起吃477F 42.72.8.15 台灣 06/13 14:59
→ : 飯喝水,為何不能戴口罩去戶外遊玩? 政
→ : 府腦袋裝大便?
→ : 飯喝水,為何不能戴口罩去戶外遊玩? 政
→ : 府腦袋裝大便?
→ : 樓樓上嘴巴再賤一點,你家人最好不要有480F 27.53.112.190 台灣 06/13 15:00
→ : 人確診
→ : 人確診
推 : 這文章讀起來好小說482F 61.223.25.51 台灣 06/13 15:00
→ : 噓的那位483F 27.53.112.190 台灣 06/13 15:00
推 : 好難過…484F 27.242.96.16 台灣 06/13 15:02
推 : 臭你媽的綠共,3+11好棒棒485F 61.64.110.193 台灣 06/13 15:05
推 : 政績+1486F 101.12.36.99 台灣 06/13 15:09
推 : 該死的玩病毒瘋狂科學家487F 59.124.242.209 台灣 06/13 15:10
推 : 小英政績 實在無法想像 還讓走鐘在天488F 27.247.34.106 台灣 06/13 15:11
→ : 天報數
→ : 天報數
推 : 3+11 操 能夠負什麼責任?490F 220.132.117.86 台灣 06/13 15:12
推 : 大家要多注意自己的身體健康491F 223.139.135.10 台灣 06/13 15:15
→ : 綠黨開始踢皮球492F 115.165.194.16 台灣 06/13 15:16
推 : 舒服 小英德政493F 49.216.131.224 台灣 06/13 15:19
推 : 最好的負責就是快讓疫苗進來...494F 223.138.62.241 台灣 06/13 15:23
推 : 外省妹歐北浪A 找歪果仁回sow吧~495F 114.38.51.195 台灣 06/13 15:24
噓 : 拿出證據再說 編故事496F 36.226.121.174 台灣 06/13 15:24
噓 : 矯情497F 223.137.126.72 台灣 06/13 15:30
推 : 只有心虛的人會天天找人要證據498F 223.136.240.27 台灣 06/13 15:31
推 : 看了真的很想哭499F 36.225.161.134 台灣 06/13 15:31
噓 : 柯是真的有問女孩這種落井下石的問題500F 111.71.8.85 台灣 06/13 15:32
→ : 嗎?如果是也太渣了吧!
→ : 嗎?如果是也太渣了吧!
推 : 希望那位爸爸早日康復502F 114.137.63.49 台灣 06/13 15:39
推 : 才6歲….希望有人能照顧她503F 49.158.20.85 台灣 06/13 15:42
推 : 政府的傲慢 世界的真實504F 114.137.125.90 台灣 06/13 15:42
推 : 然後我們的防疫預算拿去發給計程車司機505F 118.160.100.169 台灣 06/13 15:44
→ : …
→ : …
推 : 很難過,台灣好人快被蔡英文殺光了507F 36.226.233.5 台灣 06/13 15:44
→ : 以前勞工認真工作可以買房養家,現在勞動
→ : 以前勞工認真工作可以買房養家,現在勞動
→ : 醫療器材台灣就有,然後要靠民間募款去509F 118.160.100.169 台灣 06/13 15:46
→ : 買?
→ : 買?
→ : 買不起房,愈生愈少,有事時,窮人可犠牲511F 36.226.233.5 台灣 06/13 15:46
→ : 善良台灣人像泡泡,美麗但一一消失
→ : 善良台灣人像泡泡,美麗但一一消失
噓 : 有政府會做事 不要太不滿513F 218.164.165.245 台灣 06/13 15:47
推 : 民進黨不倒,百姓命如草514F 42.76.251.163 台灣 06/13 15:53
推 : 陳時鐘表示:我負責了!不要太不滿!515F 39.12.68.176 台灣 06/13 15:55
推 : 看了很難過,我這輩子絕對不投民進黨!!516F 106.1.229.134 台灣 06/13 16:09
推 : 每個確診 重症 死亡,背後都是產生破517F 180.217.138.0 台灣 06/13 16:10
→ : 碎的家庭…
→ : 碎的家庭…
推 : 操你媽的蔡英文陳時中蘇貞昌519F 1.34.230.164 台灣 06/13 16:11
推 : QQ520F 27.96.218.186 澳大利亞 06/13 16:14
推 : 唉 疫情趕快過去吧521F 1.165.206.12 台灣 06/13 16:16
推 : 時鐘:我說了我負責!!!522F 1.169.162.225 台灣 06/13 16:19
推 : 3+11歷史罪人523F 150.116.147.25 台灣 06/13 16:22
→ : 垃圾政客524F 111.241.239.49 台灣 06/13 16:25
推 : https://i.imgur.com/u0zCDqh.jpg525F 1.200.10.241 台灣 06/13 16:31
噓 : 倒吸一口氣中共用詞526F 171.96.89.242 泰國 06/13 16:33
推 : 都可以陪女兒住檢疫所了,確診了為什麼不527F 42.76.199.190 台灣 06/13 16:41
→ : 能一起住病房??文筆很好但這邏輯看不懂
→ : 能一起住病房??文筆很好但這邏輯看不懂
推 : QQ529F 223.141.150.93 台灣 06/13 16:42
→ : 綠共害人530F 42.73.121.21 台灣 06/13 16:54
推 : 蘇貞昌跟女兒打完了唷,一家很幸福快樂531F 1.200.123.75 台灣 06/13 17:04
推 : QQ532F 118.165.61.253 台灣 06/13 17:22
推 : 希望趕快康復533F 123.194.129.182 台灣 06/13 17:24
--
※ 看板: Gossiping 文章推薦值: 0 目前人氣: 0 累積人氣: 3949
作者 OhwadaAkira 的最新發文:
台中市今(28)天本土零確診,台中市長盧秀燕表示,這是進入三級警戒後,台中 首次連續3日本土確診「嘉玲」,市府將持續嚴守防疫。盧秀燕對於難得連續三天 本土零確診又愛又怕,對中央最新的入境普篩的防疫政策 …1418F 702推 155噓
台北市長柯文哲昨赴中央開會討論跨縣市疫調,不過今天柯文哲上午接受專訪提到, 「出房門就政治對政治」,對於綠營是否已經發起認知作戰?柯文哲今天下午防疫記 者會中表示,疾管署房間裡面,大家都是專業人士,不 …146F 67推 22噓
備註請放最後面 違者新聞文章刪除 1.媒體來源: 中時 2.記者署名: 張穎齊 3.完整新聞標題: 柯文哲指3+11人禍是破口 直言防疫太多政治 陳培哲不該被K 4.完整新聞內文: 台北市長柯文哲21 …157F 59推 26噓
日本前首相安倍晉三與台灣關係良好,在任期間多次透過推特與總統蔡英文互動, 如今日本捐贈台灣124萬劑AZ疫苗,讓民眾直呼「台日友好」。安倍晉三17日在廣 播節目中更直接表示,「台灣是日本重要的老朋友, …717F 460推 38噓
「它奪走了妳的奶奶,如今也許也要搶走父親?」新北市雙和醫院急診科醫師柯世祐 今天(13日)分享一家三口確診的故事,「這個端午節,很可能是許多人這輩子的最 後一個端午節了.....」對於藝人賈永婕募資到 …533F 318推 52噓
點此顯示更多發文記錄
( ̄︿ ̄)p kapwjvwo 說瞎!
7樓 時間: 2021-06-13 13:37:04 (台灣)
→
(編輯過) TW
這樣有誰敢當防疫指揮官?那歐美日韓各國防疫指揮都挫骨揚灰了,需記住中國共產黨放毒害死你的親人此仇不共戴天。
這就有如前一陣子以色列鐵穹防禦系統漏攔截哈馬斯數枚火箭彈導致傷亡
一樣道理。破口這議題哪裡爆都是破口第一破口第二破口的區別有意義嗎?
總之現在造成傷亡了最主要的精力還是放在防疫上面吧!
13樓 時間: 2021-06-13 14:11:27 (台灣)
→
06-13 14:11 TW
殺人者民進黨!各種藉口、狡辯,不買足夠、超量疫苗,在世界各國狂買、買爆的狀態下,政策殺人!民進黨與網軍都必需應該去死!去死啦!敗類!人渣!
16樓 時間: 2021-06-13 14:42:41 (台灣)
→
06-13 14:42 TW
雙和是署立醫院,然後醫生說需要這些設備,陳時中說超前部署....,之前國內可能不需要量這麼大,但是也快滿月了,設備這麼需要,藝人動作還比較快?
回列表(←)
分享




